Skip to main content

Impianto a carico immediato

È possibile per il paziente evitare il disagio di una lunga permanenza con una protesi mobile grazie all’implantologia dentale a carico immediato, con la quale nell’arco di 24/48 ore egli può riprendere a masticare con i suoi nuovi denti fissi appena inseriti: è infatti possibile nella stessa seduta procedere all’estrazione dei denti compromessi, al posizionamento degli impianti dentali e della protesi avvitata su impianti.

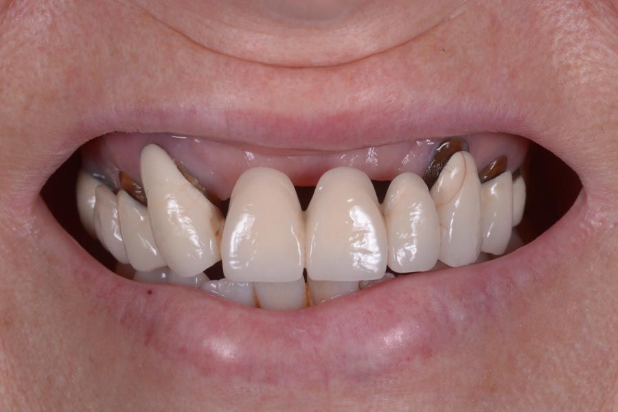
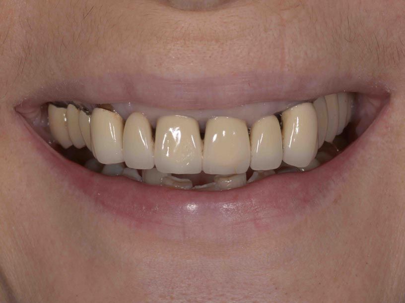
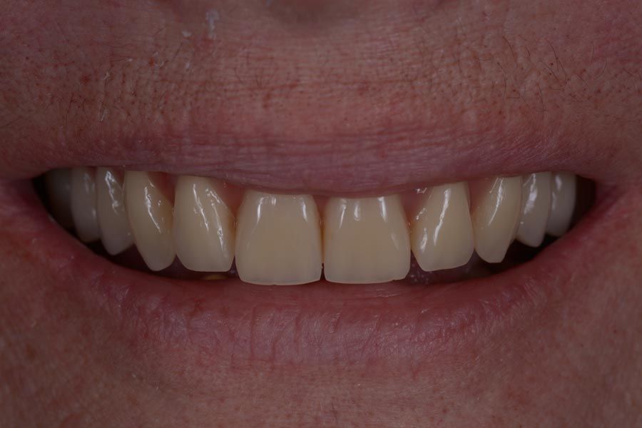
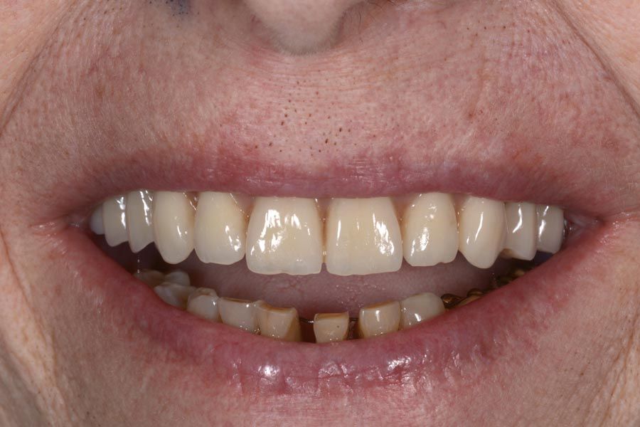
Esempi di lavori eseguiti (prima e dopo)